Breast Cancer Screening During Pregnancy and Lactation

Jump to...
    Add a header to begin generating the table of contents

    The American Society of Breast Surgeons (ASBrS), American College of Radiology (ACR), and Society of Breast Imaging (SBI) recommend screening mammograms yearly beginning at the age of 40, including during pregnancy and lactation.  Mammograms, ultrasounds, and MRI’s are safe during breastfeeding. 

    Similarly, the American College of Obstetrics and Gynecologists has a statement discussing safety of MRI and CT scan with contrast during pregnancy if one of those studies is needed and other publications corroborate this.

    Via early detection, mammograms improve survival from breast cancer. I describe these recommendations in a blog post for the United States Lactation Consultant Association.

    Mammograms are safe and effective. Radiation incurred with a mammogram is 3-5 mGray, equivalent to backgrounds levels incurred over two months or taking a plane flight.

    Ultrasound screening during lactation in BRCA I patient

     

    Ultrasound screening during lactation in BRCA I patient

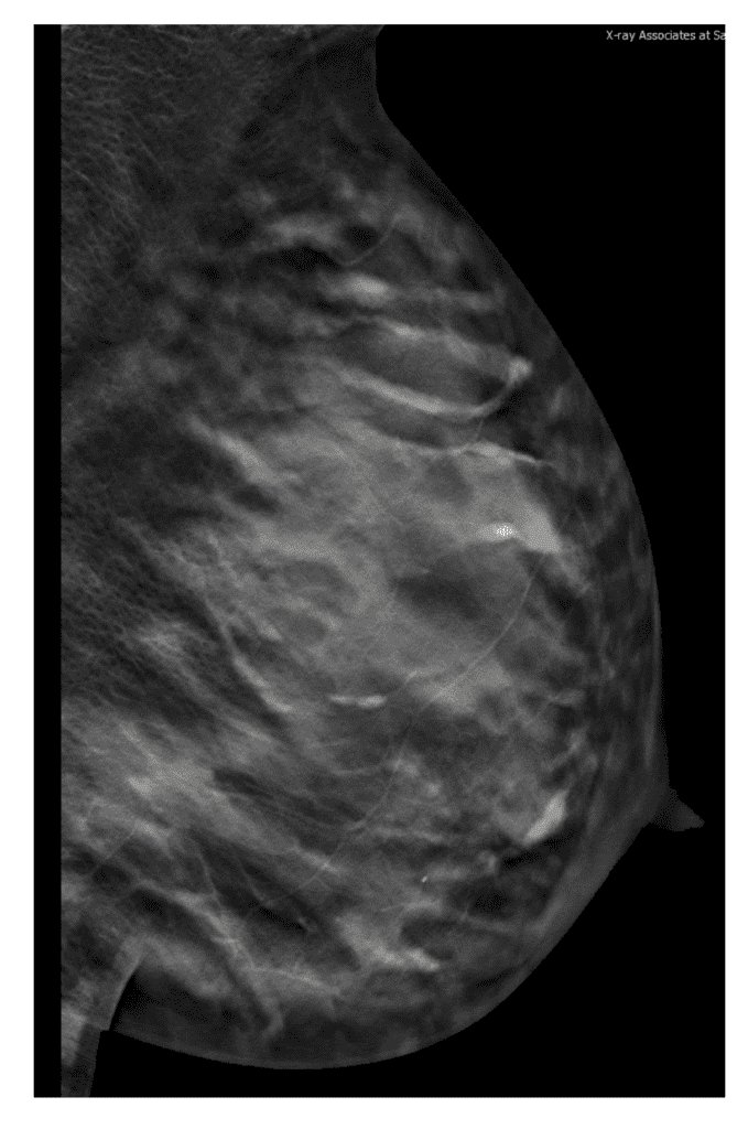
    Tomosynthesis (3D) mammogram during lactation in BRCA I patient.

     

    Tomosynthesis (3D) mammogram during lactation in BRCA I patient.

    MRI screening during lactation in BRCA I patient

     

    MRI screening during lactation in BRCA I patient.

    Complete Topic List

    Go With The Flo, The Definitive, No-Nonsense, Physician's Guide to Breastfeeding Book Mockup

    Go With the Flow

    August 18, 2026